Aort Anevrizmalarında Endovasküler Greft
Endovasküler greft uygulanması, Abdominal Aort Anevrizmasının tedavisinde, seçilmiş olgularda, klasik cerrahiye alternatif olabilecek ameliyatsız bir yöntemdir. Bir gece yoğunbakımda kalan hasta 3 gün içinde taburcu edilmektedir.

İşlem genel veya lokal-epidural anestezi altında her iki kasıktan bacak damarı 4-5 cm açılıp, greft radyolojik kontrol altında anevrizmanın içine gönderilerek yerleştirilmektedir. Yurdumuzda çok kısa bir süre önce uygulanmaya başlayan endovasküler greft implantasyonu yöntemi ile abdominal aort anevrizması olan 117, torasik aort anevrizması olan 56 hastamızı endovasküler greft yöntemi ile tedavi ettik. Torasik anevrizmalardan üçü akut diseksiyon (yırtılma) idi. Sadece üç hastamızda klasik cerrahi yönteme dönmek gerekti. İşlem sırasında ve sonrasında hiçbir hastamızı kaybetmedik. Hastalarımızın bir kısmında epidural anestezi uyguladık.
EKİP:
Radyoloji Dep. Başkanı: Prof. Dr. Füruzan NUMAN
Doç. Dr. Harun ARBATLI, Op. Dr. Naci YAGAN, Op.Dr. Oğuz YILMAZ, Op.Dr.Hasan ARDAL
Prof. Dr. Bingür SÖNMEZ

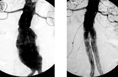
İlk hastamızın stent öncesi ve sonrası anjiografik görünümü.

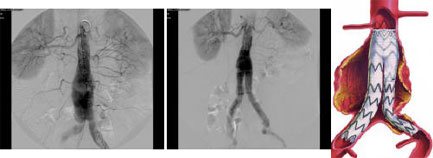
İkinci hastamızın işlem öncesi, işlem sırasında ve işlem sonrası anjiografik görünümü

İkinci hastamıza uygulanan endovasküler greft işleminden 20 dakika sonra çekilen hatıra fotografı

Üçüncü hastamız: Kronik lösemi tedavi gören hastamıza önce koroner bypas ameliyatı yapıldı. 2 ay sonra sonra abdominal aort anevrizmasına endostent uygulanan hasta mesane kanseri ameliyatı olmak için beklemektedir.

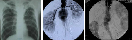
Dördüncü hastamızın abdominal aortanevrizmasına endostent uygulandıktan sonra anjiografik görünümü.

Beşinci hastamızda iskemik kalp hastalığı, yüksek tansiyon, kronik böbrek hastalığı (dialize bağımlı) ile birlikte bir abdominal aort anevrizması vardı. Genel anestezi alması imkansız olan hastaya epidural-lokal anestezi altında, sağ iliak arterde bulunan darlık tam kapatıldıktan sonra, tek taraflı (aorto unilateral-sol) endovasküler stent uygulanıp femoro-femoral cross bypass yapıldı.

Altıncı hastamız ağır akciğer tüberkülozu olup tedavi görmekteydi. Hastanın abdominal aort anevrizması 8 cm çapında olduğu için acil olarak ameliyat edilmesi gerekiyordu. Genel anestezi alması imkansız olan hastaya epidural-lokal anestezi altında, sağ iliak damarı tam tıkalı olduğu için tek taraflı (aorto unilateral-sol) endostent uygulandı. Femoro-femoral cross bypass gerek görülmedi.